手機(jī)掃碼訪問(wèn)本站
微信咨詢
|
Background: |
This gene is a member of the WNT gene family. The WNT gene family consists of structurally related genes which encode secreted signaling proteins. These proteins have been implicated in oncogenesis and in several developmental processes, including regulation of cell fate and patterning during embryogenesis. Alternatively spliced transcript variants have been identified for this gene. |
|
Applications: |
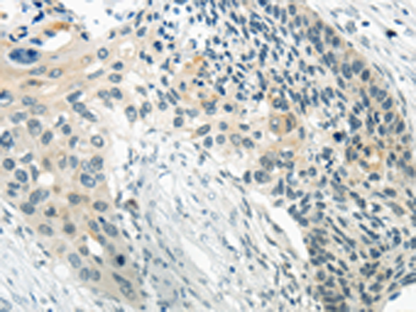
ELISA, IHC |
|
Name of antibody: |
WNT2 |
|
Immunogen: |
Synthetic peptide of humanWNT2 |
|
Full name: |
wingless-type MMTV integration site family member 2 |
|
Synonyms: |
IRP; INT1L1 |
|
SwissProt: |
P09544 |
|
ELISA Recommended dilution: |
2000-5000 |
|
IHC positive control: |
Human prostate cancer and Human thyroid cancer |
|
IHC Recommend dilution: |
25-100 |

